セルフホワイトニング学割キャンペーン ♪♪
学生さん応援キャンペーン実施中!!
学生であれば安く歯のホワイトニングができるお得プラン開始!!
東京 東久留米 美容室 美容院 ヘアサロン ラグリシン 学割サービス キャンペーン
¥3000(税込)LED放射8分×2回
特別学生割引ホワイトキャンペーン
学生さんなら何度来てもこのお値段!!消費税込みで¥3000
お手軽でお得なプランです!!
絶対お得の学割ホワイトニング♪♪
通常のホワイトニングのお値段は
更にLINEお友達になれば、、、どちらか1枚プレゼント♪♪
ACCESS
東久留米で駅から徒歩圏内の美容院ラグリシンなら雨の日でも安心して足をお運びいただけます
東久留米で駅チカの美容院をお探しでしたら、駅から徒歩圏内のHAIR SALON la Glycineがおすすめです。駅から近いため、お天気の優れない日でもアクセスしやすく、せっかく綺麗に整えた髪が乱れるリスクも軽減されます。東久留米の美容院で、理想のヘアスタイルを手に入れてください。
| 店舗名 | HAIR SALON la Glycine |
|---|---|
| 住所 | 東京都東久留米市新川町1-4-23 セザール東久留米駅前111号 |
| 営業時間 |
※お問合せご予約 メール、LINE受付中!! |
| 定休日 | 水曜日 第3火曜日 |
| 最寄駅 | 東久留米駅 徒歩2分 |
ぜひ、お気軽にお問い合わせください。
RELATED関連記事
2019/03/08
歯のホワイトニングのお得なセットメニューコースのご紹介。セルフでやるから安く歯のホワイトニングができる!!うれしいサービスです。是非この機会にホワイトニングを体験してみてください。歯のホワイトニングお得なサロンお探しなら!!東京東久留米にある美容室!
2019/03/15
歯のホワイトニングお得なサロンお探しなら!!東京東久留米にある美容室!大人から子供までもが出来る、歯のホワイトニング。早い、安い、痛くない!!美容室なので通いやすいことが特徴です。黄ばんだ歯を白く手軽で簡単セルフホワイトニング低価格、痛くない、はやい
2019/03/23
黄ばんだ歯を白く手軽で簡単にセルフホワイトニング低価格、痛くない、はやい。歯のコーティングまでも行えるセルフホワイトニング。もう、美味しいものを我慢しなくていいんです!!歯の着色ガード東久留米の美容院では安全なセルフホワイトニングを行っております
2019/01/25
東久留米にある美容院・HAIR SALON la Glycineでは、手軽に歯を綺麗にするセルフホワイトニングのための機器を導入しておりますので、安全にセルフホワイトニングができる美容院をお探しでしたらぜひ一度ご相談ください。2019/03/22
歯のホワイトニング特別限定メニュー!!人数制限あり!!早いもの勝ちのプランです。お早目のご予約を!!ご予約、お問い合わせはLINEまたはメールからすぐ出来ます!!歯っぴーライフ。セルフホワイトニング【導入1周年記念】5名様限定!!セルフホワイトニングボトル販売!!
2019/04/18
【導入1周年記念】5名様限定!!約12万円もお得にセルフホワイトニングできちゃいます♪♪キャンペーン!!セルフホワイトニングボトル販売!!約30セット分出来る!!(1セット放射2回分)!!歯のホワイトニングをするなら、自分でできる安全なセルフホワイトニング
2019/02/21
歯のホワイトニングなら自身でできるセルフホワイトニング。安全、簡単、痛くない、早い、安い!!ご予約もLINEやメールですぐ出来る。東久留米美容院ラグリシン。お問い合わせもお気軽に結婚式や大切なイベントを歯っぴーに過ごそう!!輝く白い歯ホワイトニング
2019/03/26
結婚式や大切なイベントを歯っぴーに過ごそう!輝く白い歯ホワイトニング あなたの魅力を引き出す白い歯 好感度アップは歯の印象美しく輝く白い歯 東京 美容室 美容院 割引クーポン お得新規限定ホワイトニング初回価格¥1388!激安破壊価格でお試しください
2019/06/02
新規限定ホワイトニング初回¥1388!!激安価格です。是非お試しください。セルフホワイトニング初回、ご新規様のお試しキャンペーン!早い!どこよりも安い!!痛くない!ご予約、お問合せお気軽に!!!2019/01/25
東京東久留米にある美容院ラグリシン。東久留米の美容院初の歯のホワイトニング導入店。芸能人がお勧めするテレビやSNS、雑誌などにも取り上げられている、人気のマシンで歯の黄ばみを取り除く。痛くない、簡単、安い。何よりも安全に行えるセルフホワイトニングです。2019/06/22
忙しいあなたに、すぐ出来るホワイトニング!! 【芸能人がテレビや他のメディアで紹介】 簡単に歯が白くきれいになる!!ホワイトニング セルフホワイトニングが人気なわけ 01早い 施…2019/04/04
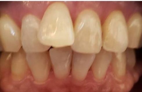
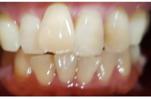
今、お使いの人工歯(差し歯、入れ歯)などはきばんできてませんか?セルフホワイトニングであれば付けた時のお色まで白くなります。また、くすんできた歯茎のお色も健康的なピンク色にケアしましょう。虫歯予防するなら手軽に出来るセルフホワイトニングが最適です。
2019/04/09
やり方は簡単、LEDライトを自身の口内に当たるように放射するだけ!とても簡単で、時間もかからず、とにかく早い!!料金も低価格なので非常に続けてご利用になれるのも嬉しい特徴です!!!話題のセルフ型ホワイトニング 操作は簡単誰でも出来る♪♪簡単、早い、痛くない!!
2019/04/07
子供だって簡単に出来ちゃうくらいの操作性♪ ホワイトニングについて詳しく知りたい方はこちらへ セルフホワイトニング簡単手順 1 ご来店 2 歯磨き 3 マウスオープナー装着 4 水分を取…2019/08/15
値段の安い歯のホワイトニング セルフお気軽ホワイトニング1ご来店約30分の手軽さ。駅近サロンでアクセスがとても楽。ご予約は、ホームページかLINEから24時間受付中です。初めての方も気軽に予約ができます。